出っ歯と口元の突出感を改善した
裏側矯正の治療例
- 患者さんのお悩み
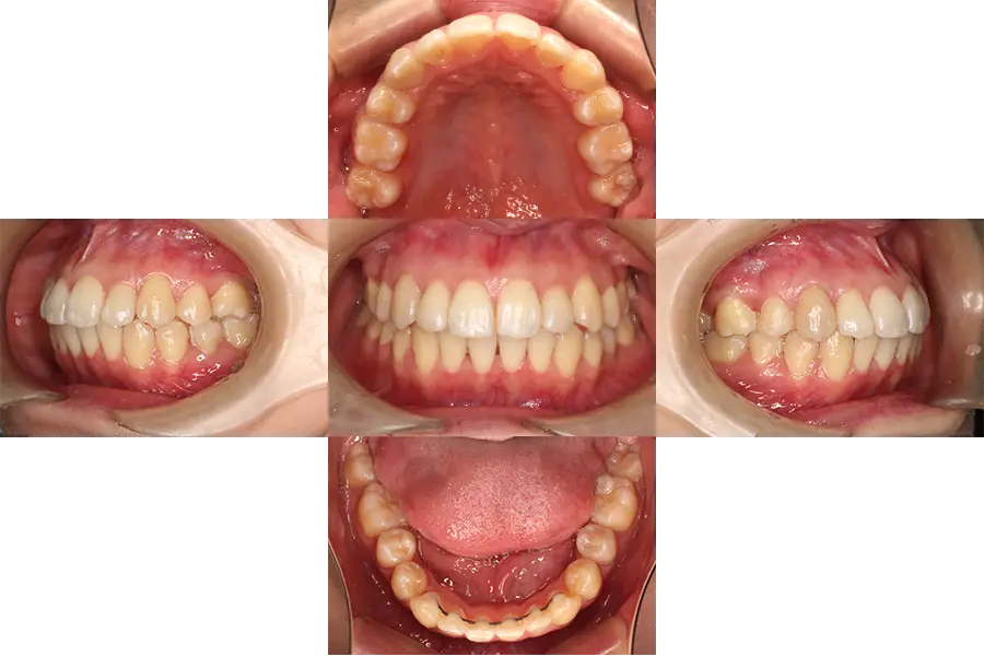
- 上下の前歯に重度の凸凹(ガチャ歯)があり歯が磨きにくく、また、上の前歯が出ていて、物が咬み切れず、さらに、上の前歯出ているため口が閉じられない。ずっと治したいと思っていたが、装置が目立つのが気になるので、他の人に気が付かれない方法で治したい
- 診断
- 上下顎のあごの骨のずれがあり、さらに上下の前歯に重度の凸凹と著しい上の前歯が認められる。また、唇を閉じようとすると上の前歯がでて閉じられない
- 治療の難易度
- 非常に難しい
- 抜歯の有無
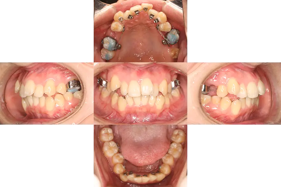
- 上下左右小臼歯および親知らず
- 使用した装置
- 舌側矯正装置、上下に矯正用アンカー(上:I-station、下:Tad)を利用し上下裏側で治療しました
- 治療期間
- 2年6か月~3年
- 費用(税込)
-
※治療期間や調整回数は、あくまでも目安です。歯の動きやすさや治療への協力度等によって大きく変わります。基本料金 1,138,500円 調整料(30回~36回) 495,000~594,000円 矯正用アンカー 170,500円 総額 1,804,000~1,903,500円
※上記の費用には治療後のメンテナンス期間の観察料は含まれておりません。
治療について
治療開始時は、上の前歯が口を閉じられないほど出ており、患者様ご自身も口元の突出感を大変気にされておりました。
また、上下前歯部の凸凹(ガチャ歯)も重度であり、患者様とご相談した結果、小臼歯を計4本抜いて凸凹を改善させるだけでなく、上の歯列全体を後方移動させる(I-stationというアンカースクリューが必要)ことで、上顎前突や口元の突出感(口ぼこ)、口唇閉鎖不全(口のとじづらさ)を改善させることとなりました。
治療期間は約3年かかりましたが、口元を大きく改善でき、歯並びや咬み合わせもしっかり治すことができました。
現在、治療後約7年経過しておりますが後戻りなく安定しております。
治療のリスク
違和感、痛み、しゃべりにくさ、虫歯のリスクの増大、歯磨きのしにくさ、ブラケット脱落の可能性。自費診療。
抜歯による外科的侵襲。
インプラントアンカーによる外科的侵襲。
