治療タイプごとの矯正治療例 仙台市の矯正歯科
ご予約・ご相談 TEL 022-346-7707
宮城県仙台市青葉区昭和町5−28
ロイヤルオフィス北仙台 2F
診療スケジュール
ご予約

矯正治療例

矯正治療は様々は方法があります。
舌側矯正やハーフリンガル、唇側、小児など治療スタイルごとの治療例を紹介しております。
ここでは治療終了後の患者さまの許可を得たものを掲載しております。
実際の治療は診察を行なった上で歯科医師の判断と患者さんのご要望を踏まて治療を進めてまいります。
ご希望の画像をクリックしてご覧ください。

舌側矯正

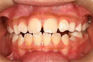
隙間
前歯が咬まず、歯列全体の隙間を改善した裏側矯正の治療例
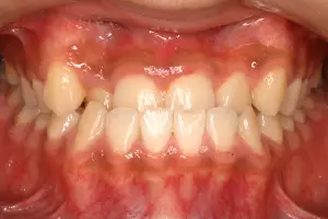
軽度の凸凹
軽度の凸凹を改善した裏側矯正の治療例
中等度の凸凹
中等度の凸凹を改善した裏側矯正の治療例
口元の突出感
出っ歯と口元の突出感を改善した裏側矯正の治療例
反対咬合
前歯の反対咬合を改善した裏側矯正の治療例
開咬
前歯で咬めない状態(開咬)を改善した裏側矯正の治療例

ハーフリンガル

過蓋咬合
かみ合わせが深く、下の前歯が見えないかみ合わせを改善したハーフリンガル矯正の治療例
中等度の凸凹
中等度の凸凹を改善したハーフリンガルでの治療例
口元の突出感
出っ歯と口元の突出感を改善したハーフリンガルでの治療例
開咬
前歯で咬めない状態(開咬)を改善したハーフリンガルでの治療例
 
 

唇側矯正

隙間
上の前歯にある大きな隙間を改善した表側矯正の治療例
軽度の凸凹
軽度の凸凹を改善した表側矯正の治療例
中等度の凸凹
中等度の凸凹を改善した表側矯正の治療例
重度の凸凹
重度の凸凹を改善した表側矯正の治療例
反対咬合
前歯の反対咬合を改善した表側矯正の治療例
開咬
前歯で咬めない状態(開咬)を改善した表側矯正の治療例

マウスピース矯正

軽度の凸凹
軽度の凸凹を改善したマウスピース矯正の治療例
中等度の凸凹
中等度の凸凹を改善したマウスピース矯正の治療例
 

小児矯正1期治療

軽度の凸凹
軽度の凸凹を改善した小児矯正治療例
上顎前突
出っ歯と凸凹を改善した小児矯正の治療例
反対咬合
前歯の反対咬合を改善した小児矯正の治療例
開咬
前歯で咬めない状態(開咬)を改善した小児矯正の治療例
非対称
顎とかみ合わせのずれ(非対称)を改善した小児矯正の治療例
 

早期治療

上顎前突・口元の突出感
出っ歯と口元の突出感を改善した早期治療例
中等度の凸凹
中等度の凸凹を改善した早期治療例
反対咬合
前歯の反対咬合を改善した早期治療例