小児矯正の治療例
小児矯正の治療の一部を紹介しております。
画像はクリックすると拡大してご覧いただけます。
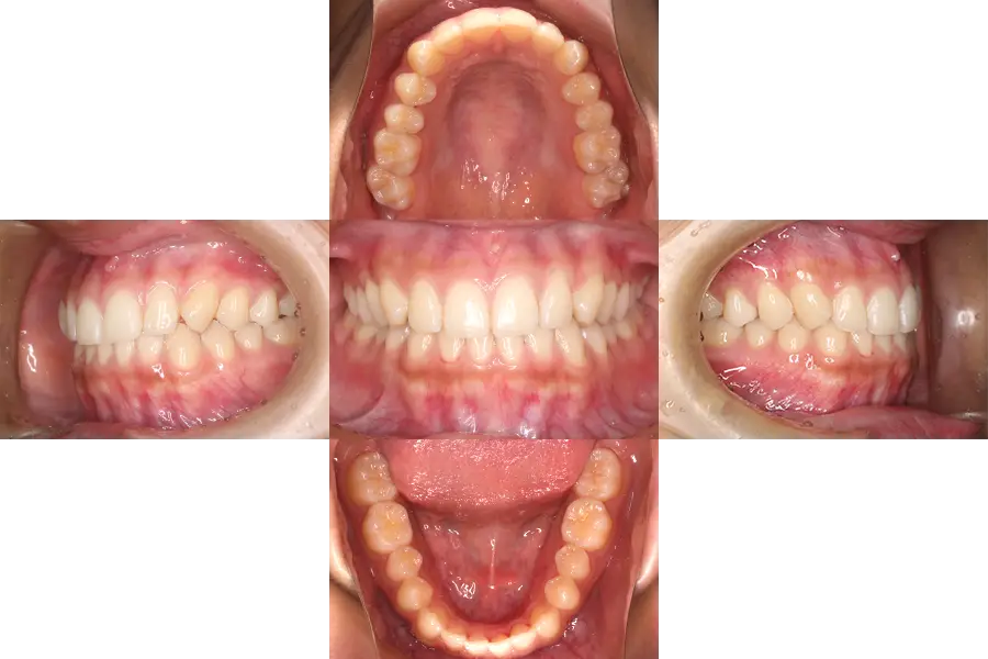
軽度の凸凹の小児矯正治療例
- 主訴
- 前歯の凸凹、永久歯が生える隙間がないと指摘された
- 治療開始年齢
- 10歳
- 診断
- 凸凹、歯の大きさに対して顎が小さい、過蓋咬合
- 難易度
- 軽度
- 使用した装置
- 歯列側方拡大装置、唇側ブラケット装置
- 治療期間
- 約1.0〜1.5年
- 費用(税込)
-
基本料金 399,300円 調整料(約12〜18回) 来院ごと6,600円 総額 478,500円~
- 治療について
-
初診時には、上顎前突と上下顎前歯の凸凹などが認められました。
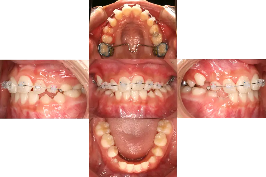
検査により、上顎臼歯部の後方移動が可能であると判断し、まずは臼歯部のズレや上顎前突を改善するため、ヘッドギアを装着してもらいました。
ヘッドギアは就寝時も含め、1日10~12時間程度使用してもらいました。
臼歯部のズレが改善したのち、前歯部にブラケット装置を装着し、前歯部の歯並び・咬合を改善しました。
1期治療終了後、永久歯の生え変わりと顎の成長による変化を観察しておりましたが、それらの成長変化が終了した段階(1期治療後5年経過時)でも、良好な歯並び・咬合が得られています。
- 治療のリスク
-
違和感、痛み、しゃべりにくさ、歯磨きの難しさ、虫歯のリスク増大、矯正装置の脱落、可撤式装置(ヘッドギア)が使用できない可能性、顎の成長や歯・顎の大きさによっては2期治療で小臼歯等の抜歯が必要になる可能性、自費診療。
(生え変わり終了時)
上顎前突の小児矯正治療例
- 主訴
- 前歯の凸凹、八重歯
- 治療開始年齢
- 10歳
- 診断
- 上顎前突、凸凹
- 難易度
- 中等度
- 使用した装置
- ヘッドギア、唇側ブラケット装置
- 治療期間
- 約1.0〜1.5年
- 費用(税込)
-
基本料金 399,300円 調整料(約12〜18回) 来院ごと6,600円 総額 498,300円~
- 治療について
-
治療開始時、上下顎共に狭く犬歯が生える隙間が全く無い状態だった。
そのため、始めに拡大装置にて上下顎歯列の拡大を行った後に、ブラケット装置をつけ隙間の確保および、上下のかみ合わせの改善を行った。
- 治療のリスク
-
違和感、痛み、しゃべりにくさ、虫歯のリスクの増大、歯磨きのしにくさ、ブラケット脱落の可能性。自費診療。
反対咬合の小児矯正治療例
- 主訴
- 反対咬合
- 治療開始年齢
- 9歳
- 診断
- 下顎前突、反対咬合、過蓋咬合
- 難易度
- 重度
- 使用した装置
- バイトブロック、唇側ブラケット装置、歯列矯正用咬合誘導装置(ムーシールド)
- 治療期間
- 約1.0〜1.5年
- 費用(税込)
-
基本料金 399,300円 調整料(約12〜18回) 来院ごと6,600円 総額 478,500円~
- 治療について
-
初診時は、下顎前突と過蓋咬合、前歯部での早期接触による顎のズレが認められました。
下顎を前方に出さなくとも、顎が自然の位置で咬めるよう、歯にバイトブロックを装着しながら、前歯部にブラケット装置を付け、早期接触および反対咬合を改善しました。
1期治療終了後、永久歯の生え変わりと顎の成長の変化を観察していたところ、成長期に入り、下顎の急激な成長が認められたため、就寝時に歯列矯正用咬合誘導装置(ムーシールド)を装着してもらいながら、経過をみました。
成長変化がほぼなくなってきた段階(1期治療終了後3年経過時)において、良好な歯並び・咬合が得られています。もう少し成長変化がある可能性があるため、今後も成長観察が必要です。
- 治療のリスク
-
違和感、痛み、しゃべりにくさ、歯磨きの難しさ、虫歯のリスク増大、矯正装置の脱落、可撤式装置(ムーシールド)が使用できない可能性、顎の成長や歯・顎の大きさによっては2期治療で小臼歯等の抜歯が必要になる可能性、自費診療。
開咬の小児矯正治療例
- 主訴
- 凸凹、前歯で咬めない
- 治療開始年齢
- 10歳
- 診断
- 上顎前突、開咬、凸凹
- 難易度
- 中等度
- 使用した装置
- ヘッドギア、唇側ブラケット装置、(口腔筋機能療法MFT併用)
- 治療期間
- 約1.0〜1.5年
- 費用(税込)
-
基本料金 399,300円 調整料(約12〜18回) 来院ごと6,600円 総額 478,500円~
- 治療について
-
初診時は、上顎前突と開咬、凸凹があり、前歯部で咬み切れない状態でした。
まずはヘッドギアにて上の奥歯を後方移動させ、獲得できた隙間を利用して前歯をブラケット装置にて並べていきました。
舌突出癖があり、前歯部でのかみ合わせが浅くなってしまうことや、保護者の方より食べ方が気になると指摘があり、MFT(口腔筋機能療法)を行い、前歯部の良好な咬合を獲得しました。
1期治療終了後、永久歯の生え変わりと顎の成長による変化を観察しておりましたが、それらの成長変化が終了した段階(1期治療後3年経過時)で、前歯に隙間ができたため、2期治療にて改善し、現在良好な歯並び・咬合が得られています。
- 治療のリスク
-
違和感、痛み、しゃべりにくさ、歯磨きの難しさ、虫歯のリスク増大、矯正装置の脱落、可撤式装置(ヘッドギア)が使用できない可能性、顎の成長や歯・顎の大きさによっては2期治療で小臼歯等の抜歯が必要になる可能性、自費診療。
非対称の小児矯正治療例
- 主訴
- 前歯の凸凹、永久歯が生える隙間がないと指摘された
- 治療開始年齢
- 10歳
- 診断
- 凸凹、歯の大きさに対して顎が小さい、過蓋咬合
- 難易度
- 軽度
- 使用した装置
- 歯列側方拡大装置、唇側ブラケット装置
- 治療期間
- 約1.0〜1.5年
- 費用(税込)
-
基本料金 399,300円 調整料(約12〜18回) 来院ごと6,600円 総額 478,500円~
- 治療について
-
初診時には、前歯部の凸凹と過蓋咬合、レントゲン写真より上顎両側犬歯のスペース不足と萌出方向異常などが認められました。
まず初めに、上下歯列に歯列側方拡大装置を入れ、犬歯の萌出スペースを確保および前歯部凸凹改善のためのスペースを確保しました。
十分にスペースを確保できたのち、前歯部にブラケット装置を付け、前歯部の歯並びと咬合を改善しました。
1期治療終了後、永久歯の生え変わりと顎の成長による変化を観察しておりましたが、それらの成長変化が終了した段階(1期治療後5年経過時)でも、良好な歯並び・咬合が得られています。
- 治療のリスク
-
違和感、痛み、しゃべりにくさ、歯磨きの難しさ、虫歯のリスク増大、矯正装置の脱落、顎の成長や歯・顎の大きさによっては2期治療で小臼歯等の抜歯が必要になる可能性、自費診療。
