ハーフリンガルの治療例
上は裏側、下は表側に器具を装着するハーフリンガルの治療の一部を紹介しております。
画像はクリックすると拡大してご覧いただけます。
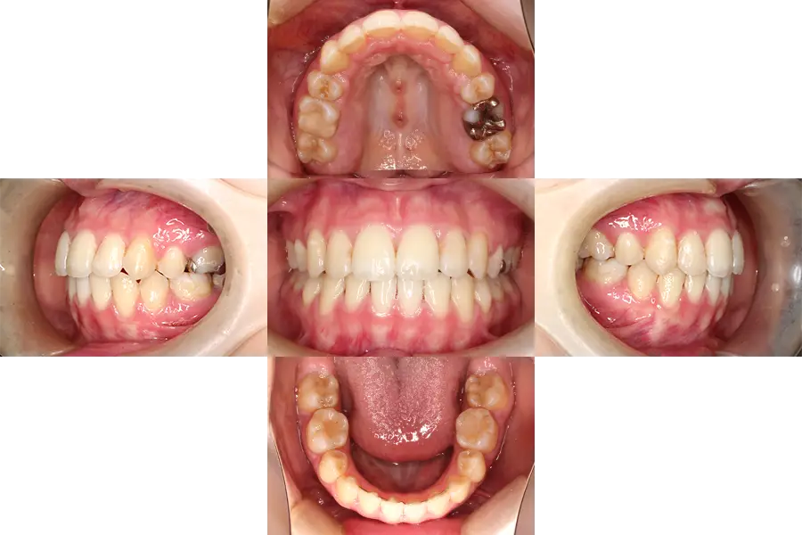
過蓋咬合のハーフリンガルでの治療例
- 主訴
- 歯の凸凹、かみ合わせ
- 診断
- 上下顎歯列の狭窄、凸凹、過蓋咬合
- 使用した装置
- 舌側矯正装置(アリアス)、唇側矯正装置(デーモン)
- 治療期間と調整回数
- 1年6か月/16回
- 費用(税込)
-
基本料金 1,028,500円 調整料 16,500円(1か月に一度来院につき) 総額 1,226,500円
(調整料と装置撤去、リテーナー装置費用込)
- 治療について
-
治療開始時には、上下歯列の狭窄、上下顎前歯の凸凹、過蓋咬合などが認められました。
非抜歯で並べていく治療方針とし、上下歯列にブラケット装置を付け、凸凹の改善とかみ合わせの改善を行っていきました。
約1年6か月で矯正治療終了し、1年経過した現在も安定しております。
- 治療のリスク
- 違和感や歯が動く痛み、装置が外れる可能性、虫歯、歯根吸収、歯肉退縮、自費診療。



中等度の凸凹のハーフリンガルでの治療例
- 主訴
- 前歯の凸凹、口元の突出感
- 診断
- 上下顎前突、重度凸凹
- 使用した装置
- 舌側矯正装置(アリアス)、唇側矯正装置(デーモン)、正用アンカースクリュー
- 治療期間と調整回数
- 1年10か月/25回
- 費用(税込)
-
基本料金 1,028,500円 調整料 16,500円(1か月に一度来院につき) 矯正用アンカースクリュー 2本(オプション)55,000円 総額 1,479,500円
(調整料とオプション代、装置撤去、リテーナー装置費用込)
- 治療について
-
治療開始時は、重度の凸凹が上下歯列に認められました。
ご本人と相談し、小臼歯を計4本抜いて凸凹を改善するとともに、ミニスクリューを埋入することで、前歯が前に出ないように、かみ合わせがズレないようにし、治療を進めていきました。
約1年10か月の治療期間で、治療後3年経過した現在も後戻りなく安定しております。
- 治療のリスク
- 違和感や歯が動く痛み、装置が外れる可能性、虫歯、歯根吸収、歯肉退縮、抜歯時の侵襲、自費診療。




口元の突出感のハーフリンガルでの治療例
- 主訴
- 凸凹
- 診断
- 重度上顎前突、過蓋咬合、中等度凸凹、口唇閉鎖不全
- 使用した装置
- 舌側矯正装置(STb)、唇側矯正装置(クリアブラケット)、矯正用アンカースクリュー(I-station)
- 治療期間と調整回数
- 3年0か月/35回
- 費用(税込)
-
基本料金 1,028,500円 調整料 16,500円(1か月に一度来院につき) 矯正用アンカースクリュー 3本(オプション)143,000円 総額 1,666,500円
(調整料とオプション代、装置撤去、リテーナー装置費用込)
- 治療について
-
治療開始時は、著しい上顎前突と凸凹、口唇閉鎖不全が認められ、口元の突出感を大変気にされておりました。
ご本人と相談した結果、小臼歯を計4本抜いて凸凹を改善させるだけでなく、上の歯列全体を後方移動させる(I-stationというアンカースクリューが必要)ことで、上顎前突や口元の突出感、口唇閉鎖不全を改善させることとなりました。
約3年の治療期間がかかってしまいましたが、口元を大きく改善でき、治療後約6経過した現在も後戻りなく安定しております。
- 治療のリスク
- 違和感や歯が動く痛み、装置が外れる可能性、虫歯、歯根吸収、歯肉退縮、抜歯やアンカープレート埋入時の侵襲、自費診療。



開咬のハーフリンガルでの治療例
- 主訴
- 前歯のかみ合わせ、上前歯の突出感
- 診断
- 開咬、上下顎前突、軽度凸凹
- 使用した装置
- 舌側矯正装置(アリアス)、唇側矯正装置(Damon)、ミニスクリュー(I-station)
- 治療期間と調整回数
- 2年7か月/29回
- 費用(税込)
-
基本料金 1,028,500円 調整料 16,500円(1か月に一度来院につき) 矯正用アンカースクリュー I-station(オプション)143,000円 総額 1,567,500円(調整料と装置撤去、リテーナー装置費用込)
- 治療について
-
治療開始時は、前歯部開咬と軽度凸凹、上下顎前歯の唇側傾斜が認められました。
治療方針は患者様と相談し、上下の小臼歯を計4本抜いて治すほか、できるだけ前歯を中に入れたいというご希望があり、上の奥歯を後方移動させるため、上あごにミニスクリュー(I-station)を埋入することになりました。
約2年7か月の治療期間で、治療後4年以上経過した現在も安定しております。
- 治療のリスク
- 違和感や歯が動く痛み、装置が外れる可能性、虫歯、歯根吸収、歯肉退縮、抜歯時の侵襲、自費診療。


